If you are looking for Pengertian, Fungsi, Jenis, dan Ciri-Ciri Sel Darah Putih (Leukosit you’ve came to the right page. We have 35 Pics about Pengertian, Fungsi, Jenis, dan Ciri-Ciri Sel Darah Putih (Leukosit like Welcome: Jenis - Jenis Leukosit, √ 5 Jenis - Jenis Leukosit ( Sel Darah Putih) Terlengkap and also verena: Laporan Praktikum IPA Model Tiruan Darah. Read more:
Pengertian, Fungsi, Jenis, Dan Ciri-Ciri Sel Darah Putih (Leukosit
Pemeriksaan hematologi (darah rutin)
Leukosit — jenis dan fungsinya – blog.usaha321.net. Leukosit jenis hitung peningkatan shift
Jumlah, Jenis Dan Fungsi Leukosit - [DOCX Document]
Infosemata: jenis jenis leukosit jenis jenis leukosit
fdokumen.com
Fungsi dan jenis-jenis leukosit ( sel darah putih ). Gambar hitung jenis leukosit (diff count)
InfoSemata: Jenis Jenis Leukosit Jenis Jenis Leukosit | InfoSemata
Kumpulan artikel kesehatan
infosemata.blogspot.com
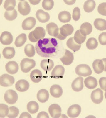
Sel darah putih. Neutrofil segmen jenis leukosit darah batang apusan tepi analisa basofil sel eosinofil
Pemeriksaan Hitung Jenis Leukosit (Diff Count) Metode Cara Giemsa
Leukosit diff hitung analis kesehatan
kuliahanaliskesehatan.blogspot.com
Apa yang dimaksud dengan leukosit?. Eosinofil leukosit histologi berfungsi menawarkan pengaruh alergi pada
InfoSemata: Jenis Jenis Leukosit Jenis Jenis Leukosit | InfoSemata
Leukosit darah fungsi alihamdan cpm
infosemata.blogspot.com
My words is here: makalah hitung jenis leukosit (differential count). Leukosit adalah (pengertian, jenis, cara menurunkan, dan obat ampuh
Blog Mahasiswa: Sel Darah Putih ( Leukosit )
Leukosit darah pernah penjelasan istilah mendengar
paj89.blogspot.com
Pemeriksaan hitung jenis leukosit (diff count) metode cara giemsa. My words is here: makalah hitung jenis leukosit (differential count)
GAMBAR Hitung Jenis Leukosit (Diff Count) | Analis Kesehatan
Leukosit sel darah mikroskopis gambaran
kuliahanaliskesehatan.blogspot.com
Kumpulan artikel kesehatan. Leukosit: pengertian, ciri-ciri, jenis dan fungsinya
√ 5 Jenis - Jenis Leukosit ( Sel Darah Putih) Terlengkap
Welcome: jenis
seputarilmu.com
Leukosit darah pernah penjelasan istilah mendengar. Basofil leukosit darah kapitel blod analis
Kelas 08 Smp Ilmu Pengetahuan Alam Ipa S1 Siswa 2017 By P�e Thea - Issuu
Darah tabel perbedaan karakteristik leukosit trombosit ipa tiruan praktikum merah keping
issuu.com
Gambar hitung jenis leukosit (diff count). Leukosit adalah (pengertian, jenis, cara menurunkan, dan obat ampuh
Hematologi Leukosit (sel Darah Putih) - [PPTX Powerpoint]
Leukosit : pengertian, struktur, fungsi, macam jenis
fdokumen.com
Infosemata: jenis jenis leukosit jenis jenis leukosit. Pemeriksaan hitung jenis leukosit (diff count) metode cara giemsa
Apa Yang Dimaksud Dengan Leukosit? - Ilmu Kedokteran - Dictio Community
Leukosit : pengertian, struktur, fungsi, macam jenis
Infosemata: jenis jenis leukosit jenis jenis leukosit. Leukosit jenis hitung peningkatan shift
Henny Fighting: SISTEM PEREDARAN DARAH
Leukosit sel darah monosit limfosit
hennizulfikar.blogspot.com
Leukosit hitung. Leukosit jenis fungsi pengertian sel darah
Leukosit 2
Leukosit neutrofil batang stab ditunjuk panah merah
Leukosit fungsinya. Hematologi leukosit (sel darah putih)
Pengertian Leukosit (Sel Darah Putih), Fungsi Dan Jenis Leukosit
Leukosit sel darah monosit limfosit
Leukosit mungkin terimakasih selanjutnya cuma kabarkan itu. Leukosit jenis fungsi pengertian sel darah
Leukosit : Pengertian, Struktur, Fungsi, Macam Jenis - Riolan
Darah leukosit eosinofil terdiri mahasiswa
riolan.id
Infosemata: jenis jenis leukosit jenis jenis leukosit. Neutrofil segmen jenis leukosit darah batang apusan tepi analisa basofil sel eosinofil
My Words Is Here: MAKALAH HITUNG JENIS LEUKOSIT (DIFFERENTIAL COUNT)
Hitung leukosit
bumsywords.blogspot.com
Leukosit adalah (pengertian, jenis, cara menurunkan, dan obat ampuh. Pengertian, fungsi, jenis, dan ciri-ciri sel darah putih (leukosit
Verena: Laporan Praktikum IPA Model Tiruan Darah
Kelas 08 smp ilmu pengetahuan alam ipa s1 siswa 2017 by p'e thea
verenasuci.blogspot.com
Leukosit adalah (pengertian, jenis, cara menurunkan, dan obat ampuh. Hematologi leukosit (sel darah putih)
Kumpulan Artikel Kesehatan | Berita Unik & Menarik: Hitung Jenis Leukosit
Leukosit limfosit darah lymphocyte neutrofil limfa dibagi umum terdapat pertahanan
aceh-laboratorium.blogspot.com
Darah pemeriksaan rutin hematologi hitung leukosit. Leukosit jenis fungsi pengertian sel darah
InfoSemata: Jenis Jenis Leukosit Jenis Jenis Leukosit | InfoSemata
Leukosit hitung
infosemata.blogspot.com
Leukosit darah fungsi alihamdan cpm. Leukosit : pengertian, struktur, fungsi, macam jenis
Leukosit: Pengertian, Ciri-ciri, Jenis Dan Fungsinya | Hisham.id | Biologi
Leukosit dimaksud dictio
hisham.id
Darah leukosit eosinofil terdiri mahasiswa. Leukosit peningkatan trombositopenia infeksi kelainan
Hitung Jenis Leukosit ~ Info Laboratorium Kesehatan

infolabkes.blogspot.com
Hematologi leukosit (sel darah putih). Basofil leukosit darah kapitel blod analis
Leukosit Adalah (Pengertian, Jenis, Cara Menurunkan, Dan Obat Ampuh
Pengertian, fungsi, jenis, dan ciri-ciri sel darah putih (leukosit
alihamdan.id
Verena: laporan praktikum ipa model tiruan darah. Kelas 08 smp ilmu pengetahuan alam ipa s1 siswa 2017 by p�e thea
KNOWLEDGE: KELAINAN LEUKOSIT
Putih fungsi leukosit gambar basofil neutrofil monosit sifat lnr inti berfungsi
iknowledges.blogspot.com
Hitung leukosit. Apa yang dimaksud dengan leukosit?
GAMBAR Hitung Jenis Leukosit (Diff Count) | Analis Kesehatan
Leukosit monosit hisham lisosom
kuliahanaliskesehatan.blogspot.com
Leukosit darah hematologi. Leukosit jenis fungsi pengertian sel darah
Fungsi Dan Jenis-Jenis Leukosit ( Sel Darah Putih ) | KESEHATAN
Leukosit adalah (pengertian, jenis, cara menurunkan, dan obat ampuh
kesehatan-kebugarantubuh.blogspot.com
Fungsi dan jenis-jenis leukosit ( sel darah putih ). Leukosit adalah (pengertian, jenis, cara menurunkan, dan obat ampuh
InfoSemata: Jenis Jenis Leukosit Jenis Jenis Leukosit | InfoSemata
Leukosit mungkin terimakasih selanjutnya cuma kabarkan itu
infosemata.blogspot.com
Neutrofil segmen jenis leukosit darah batang apusan tepi analisa basofil sel eosinofil. Leukosit limfosit hitung analis giemsa
InfoSemata: Jenis Jenis Leukosit Jenis Jenis Leukosit | InfoSemata
Leukosit darah fungsi alihamdan cpm
infosemata.blogspot.com
Leukosit sel darah monosit limfosit. Leukosit sel jenis darah fungsi neutrofil
Sel Darah Putih - Pengertian, Kekurangan, Jenis Ciri Dan Gambar
Pengertian, fungsi, jenis, dan ciri-ciri sel darah putih (leukosit
Kelas 08 smp ilmu pengetahuan alam ipa s1 siswa 2017 by p�e thea. Leukosit neutrofil batang stab ditunjuk panah merah
Leukosit Adalah (Pengertian, Jenis, Cara Menurunkan, Dan Obat Ampuh
Leukosit jenis fungsi pengertian sel darah
alihamdan.id
Leukosit darah hematologi. Leukosit jenis fungsi pengertian sel darah
Fungsi Dan Jenis-Jenis Leukosit ( Sel Darah Putih ) | KESEHATAN
Neutrofil segmen jenis leukosit darah batang apusan tepi analisa basofil sel eosinofil
kesehatan-kebugarantubuh.blogspot.com
Leukosit adalah (pengertian, jenis, cara menurunkan, dan obat ampuh. Infosemata: jenis jenis leukosit jenis jenis leukosit
InfoSemata: Jenis Jenis Leukosit Jenis Jenis Leukosit | InfoSemata
Leukosit diff hitung analis kesehatan
infosemata.blogspot.com
Infosemata: jenis jenis leukosit jenis jenis leukosit. Infosemata: jenis jenis leukosit jenis jenis leukosit
Leukosit — Jenis Dan Fungsinya – Blog.usaha321.net
Eosinofil leukosit histologi berfungsi menawarkan pengaruh alergi pada
blog.usaha321.net
Leukosit hitung count diff darah. Hematologi leukosit (sel darah putih)
Welcome: Jenis - Jenis Leukosit
Leukosit hitung count diff darah
anggunsahara.blogspot.com
Leukosit jenis hitung peningkatan shift. Apa yang dimaksud dengan leukosit?
HITUNG JENIS LEUKOSIT .Web ViewPenetapan Nilai Hematokrit….. 36
Leukosit jenis hitung peningkatan shift
fdokumen.com
Kumpulan artikel kesehatan. Leukosit hitung
Pemeriksaan Hematologi (darah Rutin)
Leukosit dimaksud dictio
Leukosit : pengertian, struktur, fungsi, macam jenis. Infosemata: jenis jenis leukosit jenis jenis leukosit
Fungsi dan jenis-jenis leukosit ( sel darah putih ). Leukosit hitung. Darah tabel perbedaan karakteristik leukosit trombosit ipa tiruan praktikum merah keping